Whether you’re struggling with discomfort while eating, or feeling self-conscious about your teeth you deserve better care. At our Dental Clinic in Thiruvananthapuram, we’re here to help you smile freely again with Advanced dental care in Trivandrum designed around your needs.

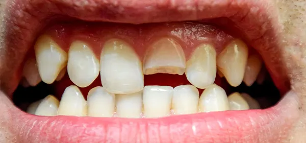
Gaps and broken teeth impact both function and confidence.

Ongoing discomfort can make eating and speaking difficult.

Alignment issues affect oral health and the way you smile.

At Trivandrum Smiles, a trusted Dental Clinic in Thiruvananthapuram, Dr. Abhinandh Krishna, specialist in Oral Maxillofacial Pathology and Microbiology and an Experienced Dentist in Thiruvananthapuram, is dedicated to delivering precise and personalized dental care. Every treatment begins with a deep understanding of your concerns, ensuring a plan that fits your needs.
Expert evaluation with a focus on accurate diagnosis
Clear and personalized treatment planning
Commitment to long-term oral health and patient comfort
Our team of skilled dentists and specialists collaborate to provide complete dental care under one roof.
We prioritize your comfort while ensuring high standards of treatment at every step.

Conservative Dentistry and Endodontics

Cranio Maxillofacial Surgeon, Implantologist & Aesthetic Surgeon

Specialist in Esthetic Dentistry & Maxillofacial Rehabilitation

Orthodontist & Dentofacial Orthopaedician (IOS endorsed) · Certified Invisalign Provider

Specialist Periodontist, Implantologist & Laser Dental Surgeon

Pedodontist (Pediatric Dentist) — Specialist in children's oral health
No complex procedures. No hidden steps. Just three simple stages between you and a confident,
healthy smile at our Dental Clinic in Thiruvananthapuram.

Schedule your visit online or contact us directly at your convenience.

Receive a detailed check-up and a customized treatment plan.

Start your journey towards a healthier, more confident smile.
From preventive care to advanced smile transformations, our team provides everything you need for a healthy, confident smile in one place, with a focus on Painless Dental Treatment in Trivandrum.

Straighten your teeth with comfortable and effective options.

Transform your smile with customized cosmetic treatments.

Replace missing teeth with stable, natural-looking solutions.

Gentle and preventive care for children’s dental health.

Treat infection and relieve pain while preserving your natural tooth.

Enhance your smile with safe and professional whitening.

The right dental care does more than improve your teeth; it transforms how you feel every day.

Smile freely at work, family gatherings, and social events

Enjoy your favourite foods without sensitivity or discomfort

Preventive care that protects your smile for decades to come
What starts as a minor ache or a small cavity can quietly spiral into something far more painful — and far more expensive.

Untreated cavities eat deeper into the tooth's pulp, turning a simple filling into a complex, costly root canal — or worse, extraction.

Periodontal disease has no pain in early stages. By the time you feel it, bacteria may have already damaged the bone supporting your teeth.

Misaligned teeth don't stay still — they drift, creating bite problems, jaw pain, and increasing difficulty chewing.

A missing tooth left unreplaced causes jawbone resorption, changing the shape of your face over time.

Chronic oral infections are linked to heart disease, diabetes complications, and respiratory issues.

Our specialists are ready to assess, plan, and protect your smile before small problems become serious ones.
Don't just take our word for it — hear from the patients whose lives we've transformed.
Take the first step towards better oral health with expert dental care tailored to your needs.