
Cosmetic dentistry is as much art as science. Our MDS specialisation in Prosthodontics and passion for aesthetics means every smile makeover is crafted to look breathtakingly natural, proportioned perfectly to your face.
Whether it's a single tooth or a full-mouth transformation, the results speak for themselves in the confidence our patients carry out of the clinic.
Whether you're a teenager wanting discreet alignment or an adult finally ready to fix a lifelong concern — our IOS-endorsed Orthodontist has the expertise and the tools to deliver results that look completely natural.
From traditional metal braces to cutting-edge Invisalign clear aligners, every treatment plan is customised to your teeth, your bite, and your lifestyle.


Children's dental health needs are different from adults — and they deserve a specialist who truly understands that. We has dedicated our career to making dental care a positive, even joyful experience for children of all ages and temperaments.
The habits and attitudes formed in childhood last a lifetime. Our goal is to ensure your child grows up with not just healthy teeth, but a healthy relationship with their dental care.
A dental implant is the closest thing to a natural tooth that modern dentistry can offer. Placed by our certified Implantologist and Laser Dental Surgeon, each implant is positioned with surgical precision and designed to last a lifetime with the right care.
Unlike dentures or bridges, implants fuse with your jawbone — preserving bone, restoring your bite, and giving you the confidence to eat, speak, and smile without hesitation.


Your gums are the foundation of your smile — and your overall health. Gum disease is painless in its early stages, which is why so many people don't realise they have it until significant damage has occurred. Our specialist Periodontist detects, treats, and prevents gum disease at every stage.
Using advanced laser therapy, We can treat gum disease with minimal discomfort, faster healing, and dramatically better outcomes than conventional surgery alone.
Root canal treatment has an undeserved reputation. In the hands of our specialist Endodontist, it is a precise, comfortable procedure that relieves severe pain and saves a tooth that would otherwise be lost. The treatment itself causes no more discomfort than a routine filling.
We uses advanced rotary endodontic systems and, where appropriate, microscope-assisted techniques, delivering exceptional precision and a level of thoroughness that significantly reduces the chance of re-infection.

Every patient, every treatment — the same simple, transparent four-step process.

Call us, message us, or simply walk in. No referral needed, no waiting lists. Your first consultation costs nothing.

Your MDS specialist listens, examines, and if needed takes digital X-rays — then explains their findings clearly in language you'll understand.

You receive a clear written plan — what treatment is recommended, why, how long it takes, and what it costs. No surprises, ever.

Your procedure is performed with expert precision. We follow up to check your progress and are always here if you have questions.
Real patients. Real results. Every transformation below was achieved at Trivandrum Smiles by one of our MDS specialists.
Patient presented without teeth. A complete denture was fabricated — restoring a full, functional smile and natural facial aesthetics.
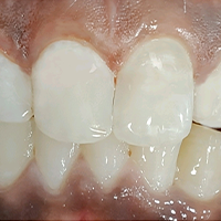
Discoloured anterior teeth restored with Zirconia all-ceramic crowns — delivering exceptional strength alongside a bright, completely natural appearance.
A happy patient following complete denture placement — renewed confidence, restored function, and a smile that feels entirely natural.
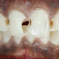
Multiple carious teeth conservatively treated — decay removed with minimal tooth sacrifice and restored with tooth-coloured Composite Resin for a seamless result.
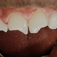
Fractured anterior teeth rebuilt using Composite filling material — precise shade matching and sculpting restores full shape, strength, and natural aesthetics.
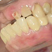
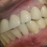
Multiple missing teeth replaced with metal ceramic crowns and bridges — full smile function restored with durable, natural-looking prosthetics.